¿Qué es la Ecografía?
La ecografía es una técnica diagnóstica. Se basa en la detección y representación de la energía acústica reflejada por las distintos tejidos del organismo. Trasmite información que permite generar imágenes en escala de grises y de la vascularización de los órganos.
No tiene radiación.
¿Qué es una Ecografía Doppler?
Es un estudio del flujo sanguíneo en el interior de los vasos, podemos medir su velocidad, su representación gráfica o espectro.
¿Cómo se realiza?
Es una prueba no invasiva ni dolorosa. Se utiliza un transductor que se coloca sobre la piel del abdomen del paciente, requiere la aplicación previa de un gel para la conducción.
Vamos a utilizar la vía transabdominal para valorar el tamaño, morfología y ecoestructura de órganos internos y externos como: riñones, vejiga y parte del sistema excretor, testículos, próstata, vesículas seminales y pene.

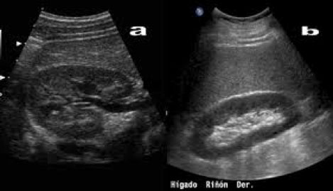
¿Cómo se ve un riñón con ecografía?
El riñón suele tener un contorno liso, a veces es lobulado, tiene un tamaño aproximado de 10,5 – 11 cm.
En un riñón normal se distinguen dos zonas importantes la cortical que es hipoecogénica y el seno renal que es hiperecogénico.

Es importante la valoración del hilio, con la arteria, vena renal y la unión ureteropiélica que se continua con la porción proximal del uréter, el resto del uréter suele ser más difícil de visualizar excepto cuando este dilatado.
La ecografía permite diagnosticar:
- quistes renales simples o complicados,
- litiasis
- dilatación de la vía excretora
- tumores…
- malformaciones
- infecciones
- estudios en traumatismos..
Para estudios de la vascularización renal se utiliza el doppler, el patrón normal dentro de la arteria renal así como sus ramas es llamado de baja resistencia. Nos ayuda en el diagnóstico de:
- trombosis de arteria o vena renal
- estenosis
- malformaciones
- aneurismas…
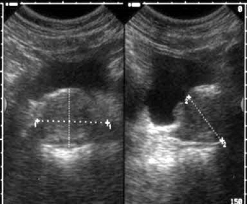
¿Cómo se ve una vejiga con ecografía?
La vejiga normal esta tiene líquido en su interior, se representa como una estructura anecoica con una pared fina, la mejor forma de visualizarla es con moderada repleción, nos permite valorar su pared que debe ser fina de unos 3 mm máximo.
Mediante ecografía se diagnostican:
- tumores vesicales
- divertículos
- litiasis
- infecciones…

¿Cómo podemos ver la próstata mediante ecografía?
Existen 2 vías de abordaje para la visualización de la próstata: transabdominal y transrectal.
El aspecto ecográfico de una próstata suele ser homogéneo.
La vía transabdominal se suele utilizar para valorar su volumen y el residuo postmiccional.

Valoración de la próstata vía transrectal:
- Se utiliza un trasductor de frecuencia media entre 8-10 Mhz.
- Se coloca al paciente en decúbito lateral izquierdo.
- Suele usarse un lubricante con anestésico.

El abordaje se realizará primero en escala de grises y posteriormente con Doppler para valorar la vascularización de la glándula.
Permite el diagnóstico de patologías como la hiperplasia benigna de próstata, prostatitis, quistes prostáticos, el cáncer de próstata.
Se utiliza como guía para la biopsia prostática.

¿Cómo se ven las vesículas seminales?
Las vesículas seminales son estructuras hipoecogénicas, simétricas, con un grosor anteroposterior de 1 cm.

¿Cómo se realiza y para qué sirve una ecografía testicular?
Se coloca al paciente en decúbito supino, se eleva el escroto y el pene se sitúa sobre el abdomen.
Se exploran ambos testículos utilizando un transductor de alta frecuencia de 7,5 a 15 Mhz tras la aplicación de gel en el mismo.

Los testículos son glándulas ovoideas de 3-5 cm de longitud, 2-4 cm de ancho y 3 cm en su diámetro anteroposterior. De ecoestructura homogénea.

La ecografía testicular te permite el diagnóstico y seguimiento de patologías como:
- tumores
- lesiones quísticas,
- microlitiasis,
- dolor agudo escrotal y traumatismos,
- infecciones y abscesos,
- lesiones extratesticulares (hidrocele, varicocele),
- lesiones en el epidídimo.
Una correcta exploración testicular debe realizarse en escala de grises y posteriormente con doppler, este permite ver la vascularización de los testículos, los cambios en el doppler espectral son signos de complicación y muy importantes para el diagnóstico de:
- torsiones testiculares,
- tumores,
- infecciones complicadas,
- estudios de infertilidad (varicoceles…).

¿Qué es y para qué sirve una ecografía y doppler de pene?
Es la técnica de elección para valorar la patología peneana.
La ecografía de pene se utiliza fundamentalmente para el estudio de la disfunción eréctil, para identificar sus causas:
- Insuficiencia arterial y / o venosa.
- Enfermedad de Peyronie
- Lesiones vasculares: estenosis, rotura de arteria cavernosa.
- Estudio de traumatismos: hematomas, desgarro uretral, rotura de albugínea…
Permite un estudio de la anatomía vascular, de las modificaciones en el flujo sanguíneo, medir las velocidades pico sistólicas (VPS) y diastólicas (VD).
Se considera patológico una VPS menor de 25 cm/seg y una VD superior a 5-7 cm/seg.

Anatomía normal del pene y su vascularización
¿Cómo se realiza?
Se coloca en paciente en decúbito supino.
Se utiliza un transductor de alta frecuencia 7-10 Mhz sobre la cara ventral del pene.
Se explora en dos fases:
- la primera en reposo, es decir fláccido, se realiza un barrido del mismo en escala de grises permite valorar la anatomía y morfología peneana, posteriormente con doppler, se estudia la vascularización.
En esta fase el flujo arterial es de gran resistencia, los sinusiodes de los cuerpos cavernosos están colapsados.
- en una segunda fase se explora el pene en erección, normalmente tras la inyección de prostaglandinas mediante doppler. Durante la erección se producen cambios en la vascularización tanto arterial como venosa: se relajan las paredes de las arteriolas y espacios sinusiodales aumentando el flujo en los cuerpos cavernosos, al mismo tiempo se comprimen las venas.
Todos estos cambios se manifiestan con modificaciones en las ondas y en el estudio espectral de manera que al principio existe un flujo monofásico en reposo, a medida que se produce la erección va estrechándose el flujo sistólico, el flujo diastólico llega a invertirse.
En la fase final caen ambos flujos.
Estudio en escala de grises de un pene normal.

Imágenes de estudio con doppler y la representación espectral.

Debe estar conectado para enviar un comentario.